Encouraging a Passion for Excellence!
KöR® Whitening’s Tray Laboratory is provided for use by full system users of the KöR® Whitening system. The lab is intended as a convenience and learning resource for our full system clients. Although making trays in your own practice is detailed in the training manual, you may opt to have them made by our staff of experts at the KöR-Seal Tray Lab.
Accuracy of Results: If your trays don’t fit and seal as well as the KöR-Seal ones fabricated by the KöR® Lab, you will not achieve the maximum whitening results. Your office staff is likely very skilled and talented, but will they achieve the precise sealing ability necessary?
Convenience: Proper fabrication of KöR-Seal Trays is more precise and more time consuming than ordinary bleaching trays. Given the very low cost of KöR-Seal Trays fabricated by the KöR® lab, and the convenience of not having dental staff take time to make the trays, many offices opt to use the KöR® Lab for all their cases.
Low Cost: The economical KöR-Seal Tray Lab is intended to be used for the convenience and learning of our full system clients. The KöR® Lab offers full system users:
- Education: KöR® Whitening results cannot be achieved without our proprietary KöR-Seal Trays. First, the impressions must be ideal, and second, the tray fabrication must be ideal. By sending a case to the KöR® Lab, this provides:
-
- The ability for us to evaluate your impressions, and provide help to your practice if the impressions do not supply what is needed to fabricate ideal KöR-Seal Trays
- The ability for dentist and staff to see, up close and personal, exactly how the impressions were trimmed, how the models were trimmed, how the blockout and reservoirs were placed, how the trays were trimmed, how the trays fit the models, and most importantly, how ideal trays should fit the patient’s mouth.The tray fabrication training is covered (including photos) in the Training Manual, however there is never a replacement for the ability to see the models and trays right in your own hands.
Lab stone is much lighter in color when it is freshly mixed, and when it sets, it’s significantly darker. The result is that you can easily see the new stone used to place reservoirs and blockout. However, when the blockout and reservoirs set, it can be more difficult to see. This is precisely why the KöR-Seal Trays Lab uses yellow stone to pour models, and uses blue stone for blockout and reservoirs – as a learning experience, so the dentist and staff can easily see how the models were treated.
All start-up kit specials include a free lab case so that we may evaluate your impressions and so you and your staffKoR-Seal Tray Upper_on teeth can see how KöR-Seal Trays are made, how they fit the model and how they fit the patient’s mouth. It is important not to throw away the impressions or models (for future reference) and to memorize how the trays fit the model, and most importantly, how they fit the patient’s mouth. If you are unable to achieve this when fabricating trays in your own practice, you will not achieve ideal whitening results. If you are unable to achieve the same tray fabrication results compared to your case fabricated by the KöR® Lab, it is important to notify KöR® to help you with your technique. -
- Convenience: Given the low cost of the KöR® Lab trays, many dentists prefer to have the KöR® Lab fabricate their trays on a continuing basis. Some believe it’s not worth the time for their staffs to make the trays, and some report that though their assistants are absolutely fabulous at what they do, they just “don’t have it” when it comes to lab work.
At Evolve, our concern is your success and the success of whitening for your patients. Since all the steps and products in the KöR® System were developed around the fit and seal of the KöR-Seal Trays, for the most ideal whitening results, the most fool-proof approach is use of the KöR® Lab for the fabrication of your KöR-Seal Trays.
The KöR® Seal Difference
KöR® Case Studies
I am so happy to show you the following case. One of, if not THE most heart-warming case I’ve ever treated of any sort. This is what being a dentist is all about!
I treated a female patient with KöR® Whitening, and as always, she had a fantastic result, and was absolutely elated.
Leonard Tau, DMD. Philadelphia, PA
The next thing I knew, I received a phone call from her sister, who lives more than two hours away. She said her twelve year-old son has horribly discolored teeth and will no longer smile. At age 12, he was becoming very aware of his peers and their comments. It was turning this cute, extroverted young man into an introvert who avoided interaction with others. When they arrived at my office, I took some photos to email to get Rod Kurthy’s input on the case. When I asked my new young patient to smile, this is what I got. He had trained himself not to show his teeth.

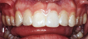
After significant coaxing, I was able get him to “show me your teeth”. You can see the appearance of fluorosis, including the typical white opaque spots and brown spots, both a result of the inhibitory affect excess fluoride has on ameloblasts.

His mother also brought his school photo in to show me. She was unhappy that he was not smiling broadly. You can see that the discoloration is in the incisal 60% of the incisors, and this patient had trained himself to cover this discolored area with his lower lip and only show the cervical areas of the teeth.

Obviously the parents were greatly distraught over the effect this was having on their son, and after speaking with his aunt (my patient), they felt there may be hope. I asked Rod what he thought about KöR® Whitening, vs. Microabrasion, vs. removal of the discolored area and restoration with composite. Rod assured me that the results would be spectacular with KöR® Whitening, and felt this was the much more conservative approach of all of the considered treatments. Well, here is the result we were able to achieve for this young man.

But that’s not the best part. The BEST part is this – this time when I asked him to smile, this is what we got:

What an absolutely changed person he is. I’m told he’s right back to his glowing, extroverted personality. His Mom was so happy that she convinced the school to allow her to take her son to the photographer and get a new school photo: 
My patient and his mom are absolutely thrilled with the results. Thanks for all your help.

I am so happy I’ve found KöR® Whitening Deep Bleaching for my office. I am seeing great results and the patients are thrilled! I was very hesitant about whitening the first case below, which is a dark tetracycline stained case.
Alina Cretu, DDS.
This patient had looked like this for her entire life, and after KöR® Whitening she said people were staring at her asking what happened and what she’d done to look so good.
You can see that the second case also shows some diffuse tetracycline staining, and has features off fluorosis also.
Before

After

Before

After

Before

After
