At KöR® Whitening, we love to hear about the impact our whitening system has made on patients from around the country. We recently heard a wonderful success story from Dr. David Simon of Suffern, New York. He was confronted with a very challenging case: a 17-year-old patient with severe fluorosis. Dr. Simon was new to the KöR® Whitening system, so this was the first time he had used our whitening products with a patient. Continue reading to see what Dr. Simon and his patient thought of the results.
What is Fluorosis?
Fluorosis is caused by the hypomineralization of enamel from the accumulation of excess fluoride ions. Fluoride disrupts the activity of secretory ameloblasts, causing hypoplastic “white spots”.
Amelogenins and various non-degraded matrix proteins build up inside the enamel as the enamel is formed, which prevents the mineralization process and leaves behind areas of organic debris. Fluoride becomes part of the mineral tooth structure molecules, making the whitening process even more challenging.
Due to the severity of the patient’s fluorosis, Dr. Simon speculated that the patient’s adult incisors came in around the age of seven or eight, and the trapped organic debris within the enamel gradually became dark brown in color.

Recommended Treatment
This particular patient was very self-conscious about her stained teeth, which made it embarrassing for her to smile. Dr. Simon had heard many good things about the KöR® Whitening system and decided this was an excellent opportunity to use it for the first time. The patient was very excited when she heard about what KöR® could do for her condition.
The recommendation for this unusually difficult case was to use the KöR® Ultra whitening protocol. It started with an initial office visit of two 20-minute applications with the KöR® 13% Hydremide® Peroxide whitening gel, simply applied in the KöR® Whitening trays. This was followed by the patient doing four weeks of at-home whitening with the KöR® 16% carbamide peroxide formula. Treatment was completed with a final in-office KöR® 34% Hydremide Peroxide application. Each week of treatment showed significant results, and the before-and-after photos illustrate the life-changing improvement in this patient’s teeth.

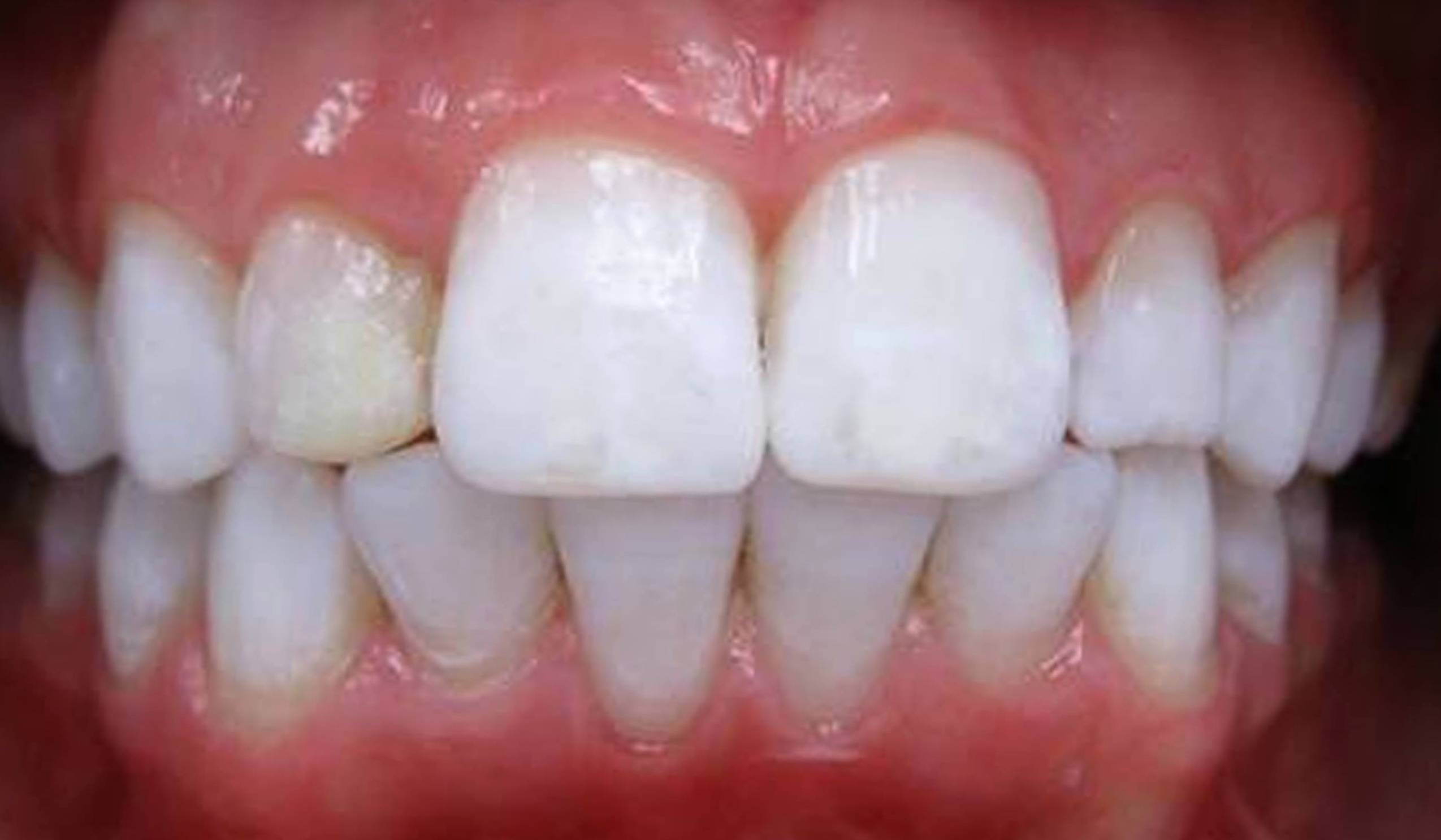
You may see the yellowish area on this patient’s upper right lateral incisor. You can see this same area on the before photo also. This is a bonded filling. It is important to understand that fillings will not lighten very much with even KöR® Whitening. The very simple solution is to replace the filling after whitening is completed, matching the color of the new filling to the newly whitened teeth.
Proven Results
In the beginning, Dr. Simon was a bit skeptical and cautious about how well KöR® Whitening would perform on this patient. His patient was hopeful, but he carefully managed her expectations, knowing that she had a fairly extreme case of fluorosis. In the end, they were both extremely pleased with the whitening results, and Dr. Simon said he will undoubtedly turn to KöR® Whitening again in the future, whether it’s for simple whitening cases or more severe cases such as this.
To learn more about KöR® Whitening and how our systems can help your patients achieve exceptional whitening results, contact us today or request one of our informative science papers on a variety of whitening subjects.







