When it comes to teeth whitening, patients and dentists want a product that not only whitens teeth but keeps them white over time. At KöR® Whitening, we’ve made it our mission to provide just that. With our scientifically-based whitening systems, you can rest assured that KöR’s products will effectively whiten your teeth…and keep them white. Continue reading to see how KöR® Whitening helped one tetracycline patient smile again.
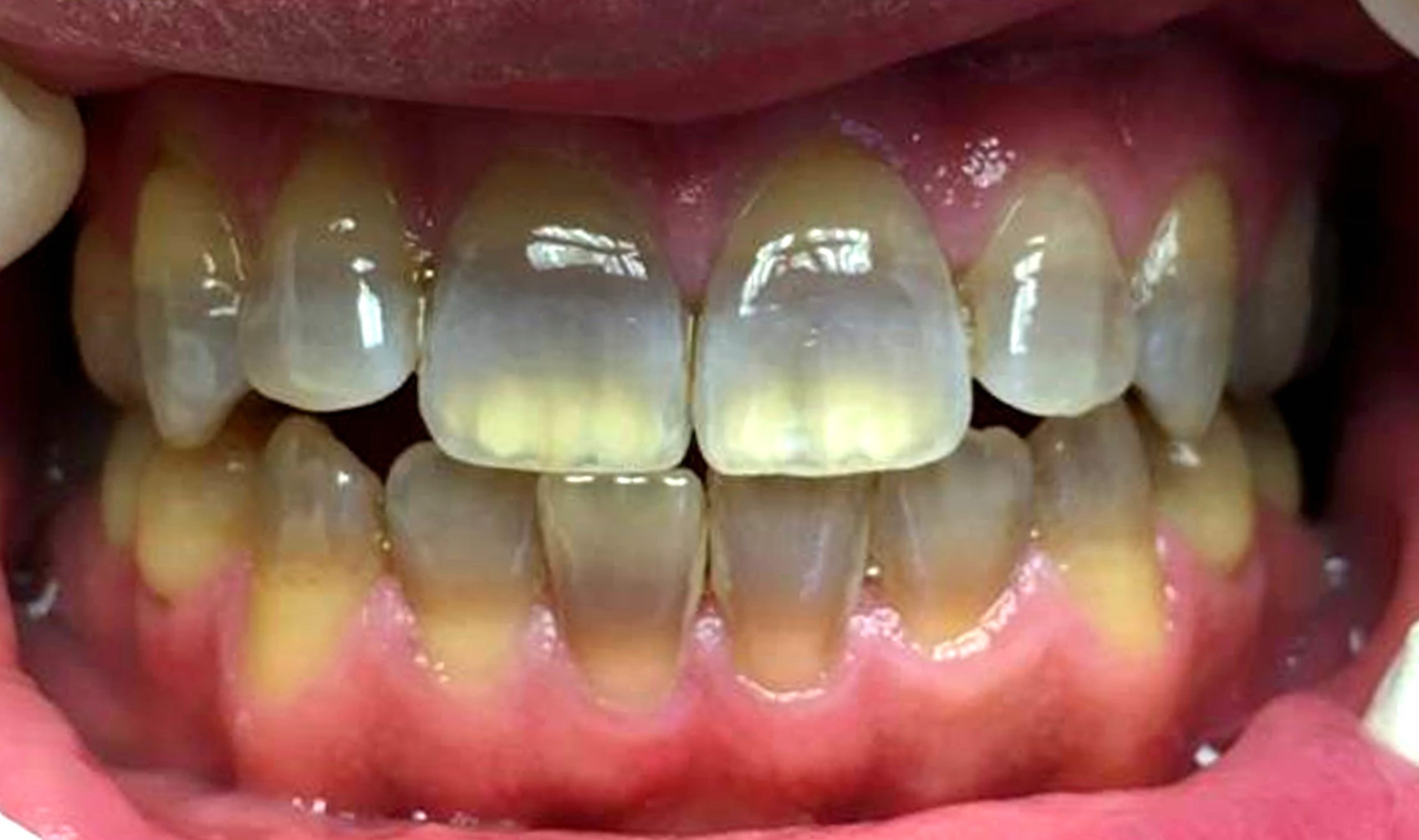
Last year, Dr. Lawrence Weiner of Wyckoff, New Jersey began working with a patient who had severe tetracycline staining. The extent of the staining was so great that the patient was often too embarrassed to smile. As it was such a challenging case, Dr. Weiner contacted KöR® Whitening for help with an effective treatment strategy.
KöR® Whitening, widely recognized as the world’s most effective whitening system, provides phenomenal home whitening for typical patients, to astonishing treatment of the most difficult whitening cases. And since KöR’s effectiveness is so well-documented, more and more dentists, just like Dr. Weiner, are discovering the difference that KöR® Whitening can make in all their whitening cases — even the most difficult ones.

Dr. Weiner, together with his KöR® Senior Account Manager and Dr. Rod Kurthy, founder of KöR® Whitening, determined that the KöR’s Ultra-T Whitening Kit, designed specifically for tetracycline cases, was the best option for this patient. The Ultra-T whitening protocol involves fabrication of proprietary KöR-Seal whitening trays; an in-office conditioning visit utilizing KöR® 13% Dual-Activated, Tri-Barrel™ Hydremide® Peroxide gel delivered in the KöR-Seal trays (no need for retractors or paint-on gingival barrier) followed by 6-8 weeks of at-home nighttime whitening and then concluding with an in-office whitening visit utilizing KöR® 34% Dual-Activated, Tri- Barrel Hydremide Peroxide gel.
Dr. Weiner and his patient were both delighted with the final whitening results, especially given the fact that prior to KöR® Whitening such a result was considered to be impossible.

With tetracycline staining, simple at-home maintenance is crucial. In order to maintain and keep improving upon the whitening results, the patient was encouraged to continue simple periodic home maintenance moving forward. Tetracycline can be difficult for dentists to treat, but with some help from us at KöR® Whitening, our scientific technology can make a huge impact on your patients’ whitening results.
To learn more about KöR® Whitening and our proven tetracycline whitening results, contact us today or request a copy of our science paper, What You MUST Know Before Treating a Tetracycline Patient.







