Encouraging a Passion for Excellence!
Our KöR-Seal™ Whitening Tray Laboratory is provided for use by KöR Whitening dentist providers for their KöR Whitening cases. The lab is intended as a convenience and learning resource for our KöR® Whitening clients. Although making trays in your own practice is detailed in the training manual and video, you may opt to have them made by our staff of experts at the KöR-Seal Tray Lab.
Accuracy of Results: If your trays don’t fit and seal as well as the KöR-Seal trays fabricated by the KöR® Lab, you will not achieve the maximum whitening results. Your office staff is likely very skilled and talented, but will they achieve the precise sealing ability necessary?
Convenience: Proper fabrication of KöR-Seal Trays is more precise and more time consuming than ordinary whitening trays. Given the low cost of KöR-Seal Trays fabricated by the KöR lab, and the convenience of not having dental staff take time to make the detailed trays, most offices opt to use the KöR Lab for all their cases.
Low Cost: The economical KöR-Seal Tray Lab is intended to be used for the convenience and learning of our KöR Whitening clients. The KöR Lab offers:
- Education: KöR Whitening results cannot be achieved without our proprietary KöR-Seal Trays. First, the digital or conventional impressions must be ideal, and second, the tray fabrication must be ideal. By sending a case to the KöR® Lab, this provides:
- The ability for us to evaluate your digital or conventional impressions, and provide help to your practice if the impressions do not supply what is needed to fabricate ideal KöR-Seal Trays.
- The ability for dentist and staff to see, up close and personal, exactly how the impressions were trimmed, how the models were trimmed, how the blockout and reservoirs were placed, how the trays were trimmed, how the trays fit the models, and most importantly, how ideal trays should fit the patient’s mouth. The tray fabrication training is covered (including photos) in the Training Materials and Video, however there is never a replacement for the ability to see the models and trays right in your own hands.
Lab stone is much lighter in color when it is freshly mixed, and when it sets, it’s significantly darker. The result is that you can easily see the new stone used to place reservoirs and blockout. However, when the blockout and reservoirs set, it can be more difficult to see. This is precisely why the KöR-Seal Tray Lab uses yellow stone to pour models and uses blue stone for blockout and reservoirs – as a learning experience, so the dentist and staff can easily see how the models were treated.

All KöR start-up kits include free lab cases so that we may evaluate your impressions, and so you and your staff can see how KöR-Seal Trays are made, how they fit the model and how they fit the patient’s mouth. And most importantly, this allows you to see the amazing results you will achieve when the KöR-Seal whitening trays are fabricated ideally. It is important not to throw away the impressions or models (for future reference) and to memorize how the trays fit the models and fit the patient’s mouth. If you are unable to achieve this when fabricating trays in your own practice, you will not achieve ideal whitening results. If you are unable to achieve the same tray fabrication results compared to your case fabricated by the KöR Lab, it is important to notify KöR to help you with your technique.
- Convenience: Given the low cost of the KöR Lab trays, most dentists prefer to have the KöR Lab fabricate their trays on a continuing basis. Most believe it’s not worth the time for their staffs to make the trays, and many report that, though their assistants are absolutely fabulous at what they do, they just don’t have the experience to properly fabricate these detailed whitening trays.
At Evolve, our concern is your success and the success of whitening for your patients. Since all the steps and whitening gel formulations in the KöR System were developed around the fit and seal of the KöR-Seal Trays, for the most ideal whitening results, the most fool-proof approach is use of the KöR Lab for the fabrication of your KöR-Seal Trays.
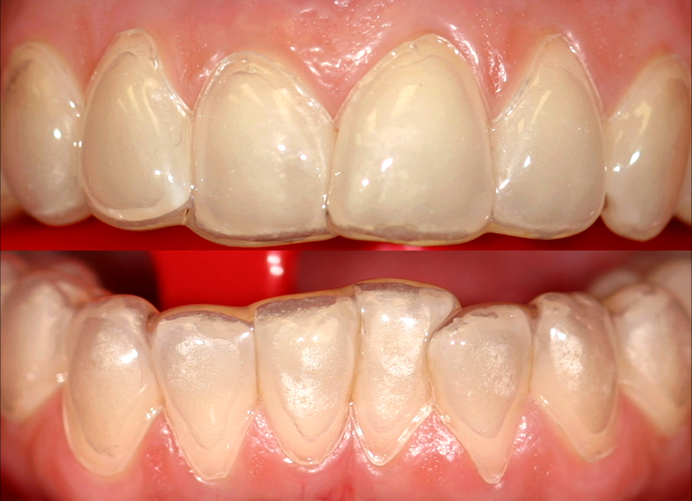
KöR® Whitening Gallery
Almost any whitening company can show you a few impressive before and after photos. But we have literally hundreds of cases, submitted by doctors like you, showing the phenomenal results you can get with the KöR® Whitening System.


