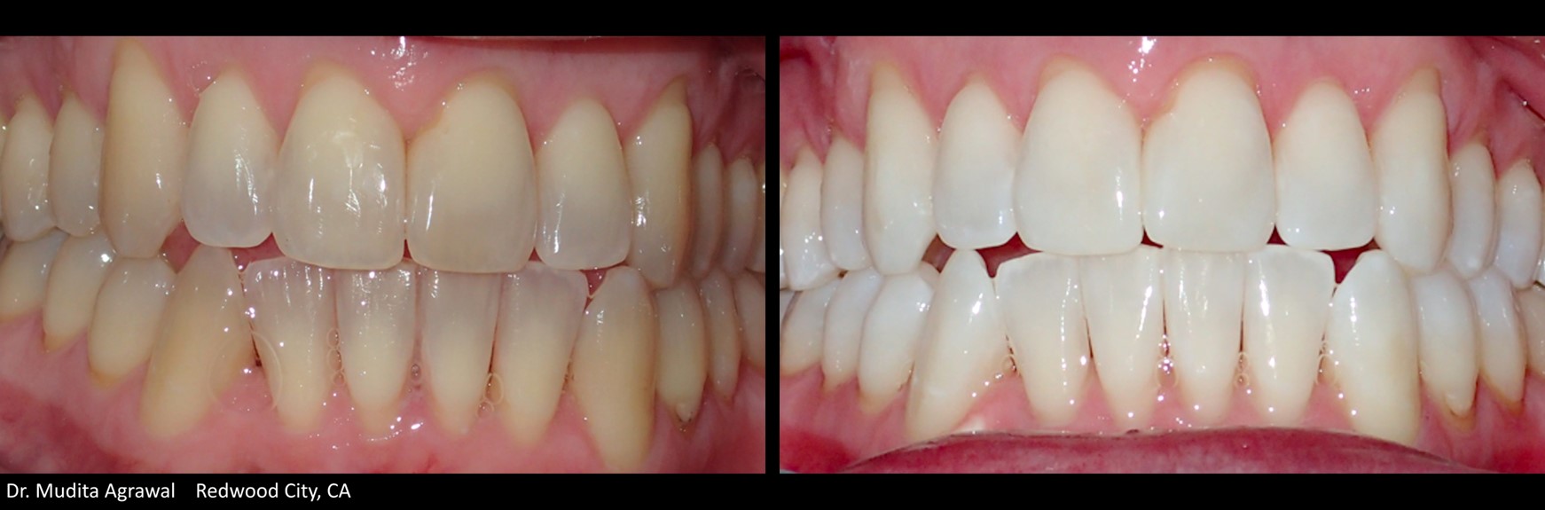
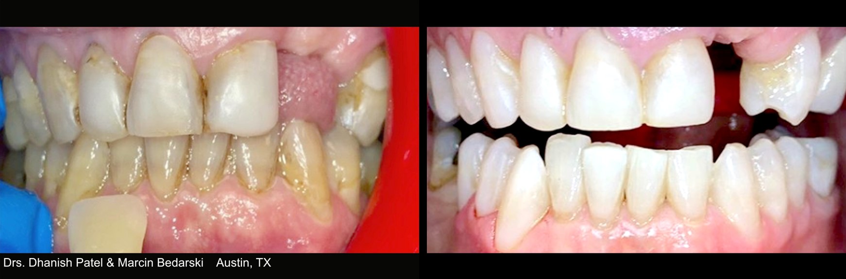
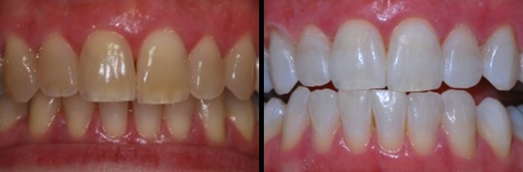
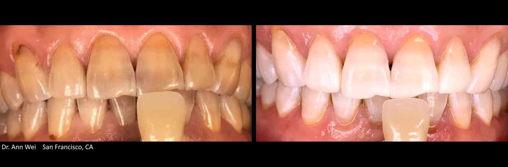
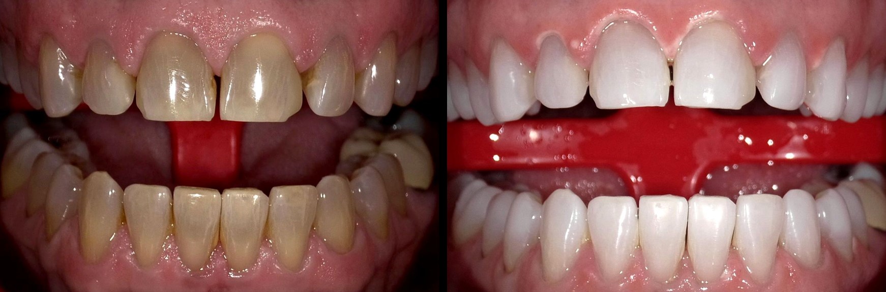
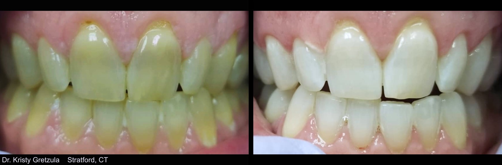
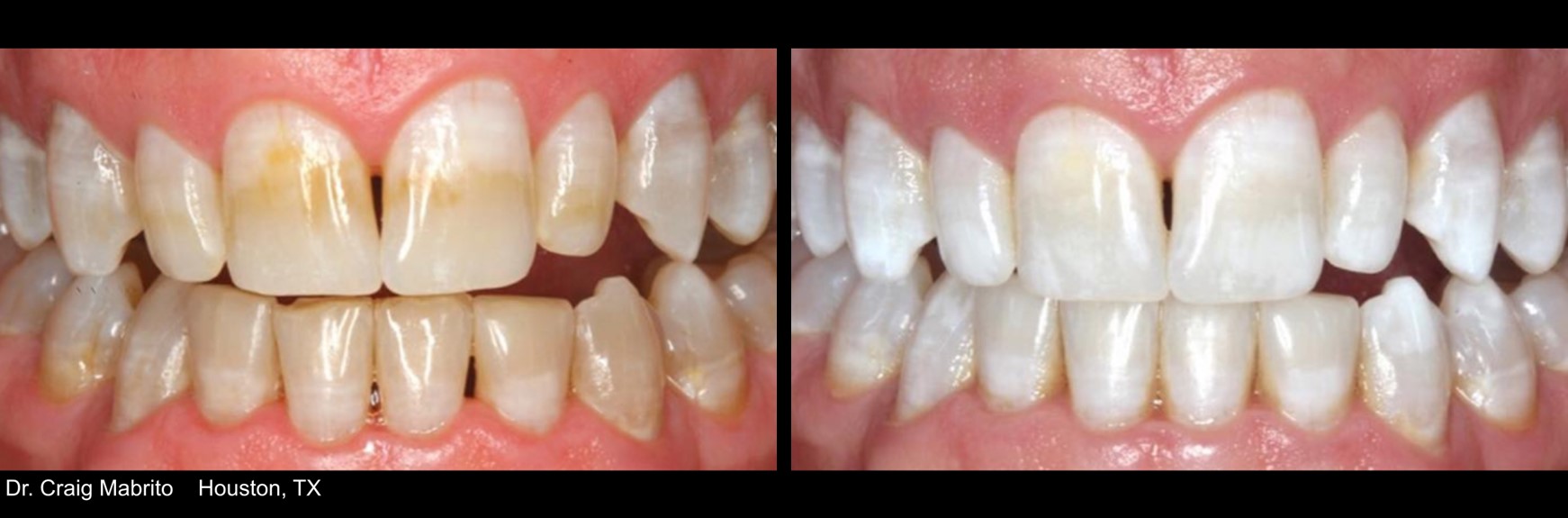
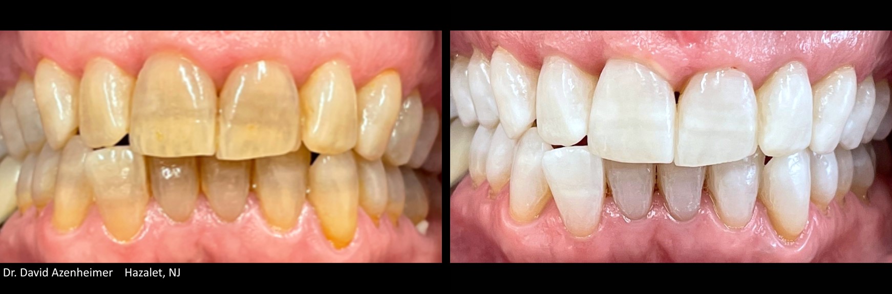
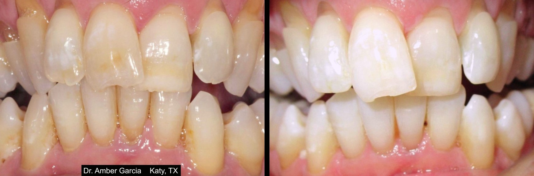
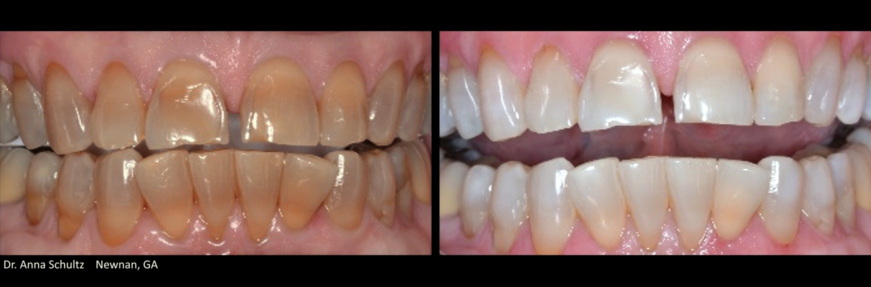
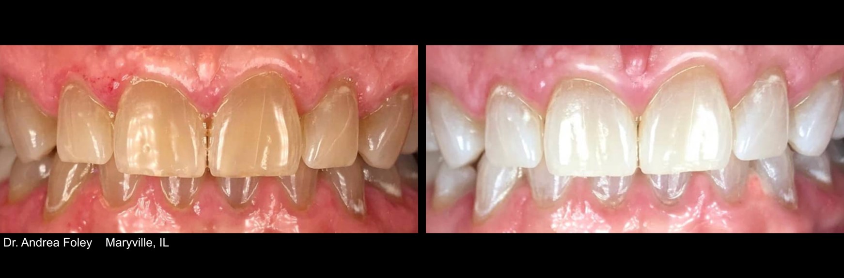
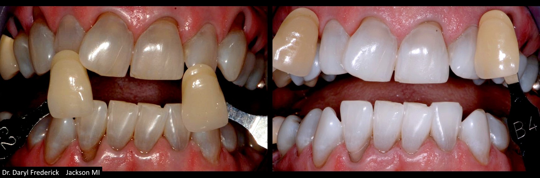
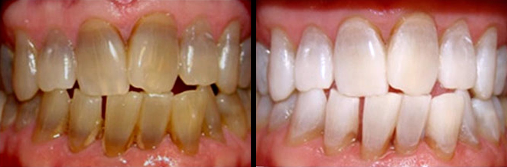
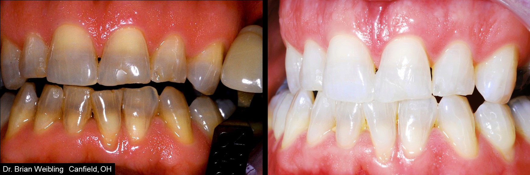
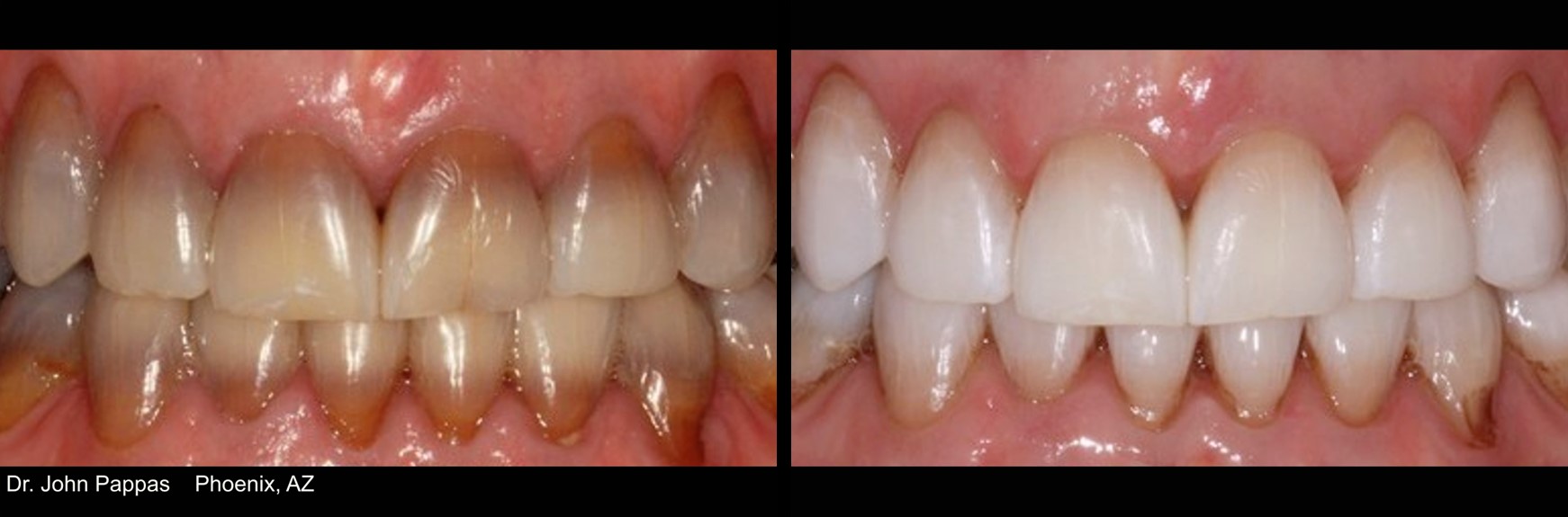
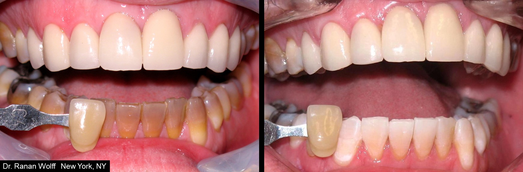
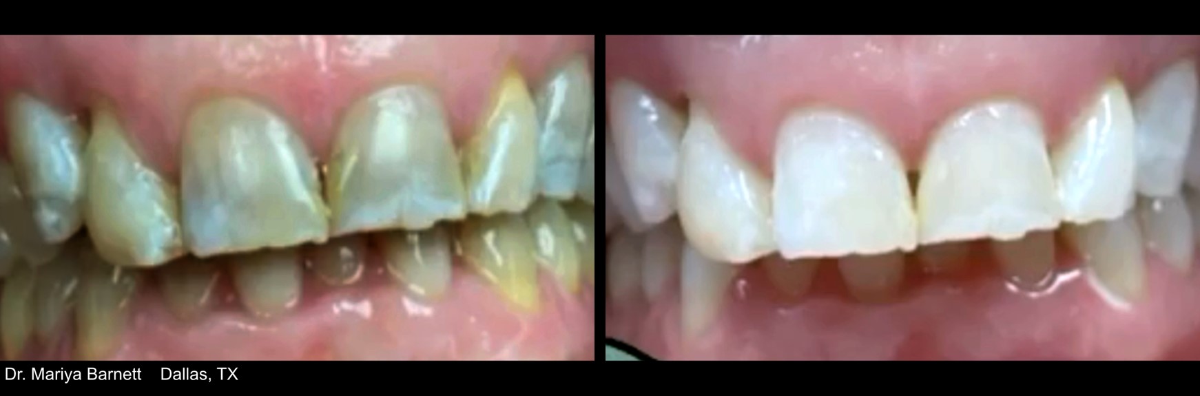
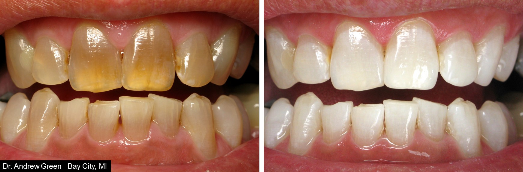
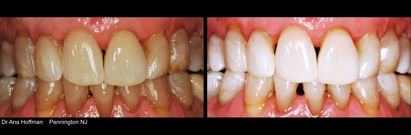
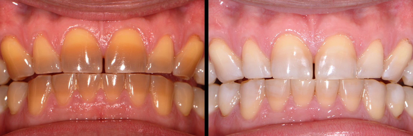
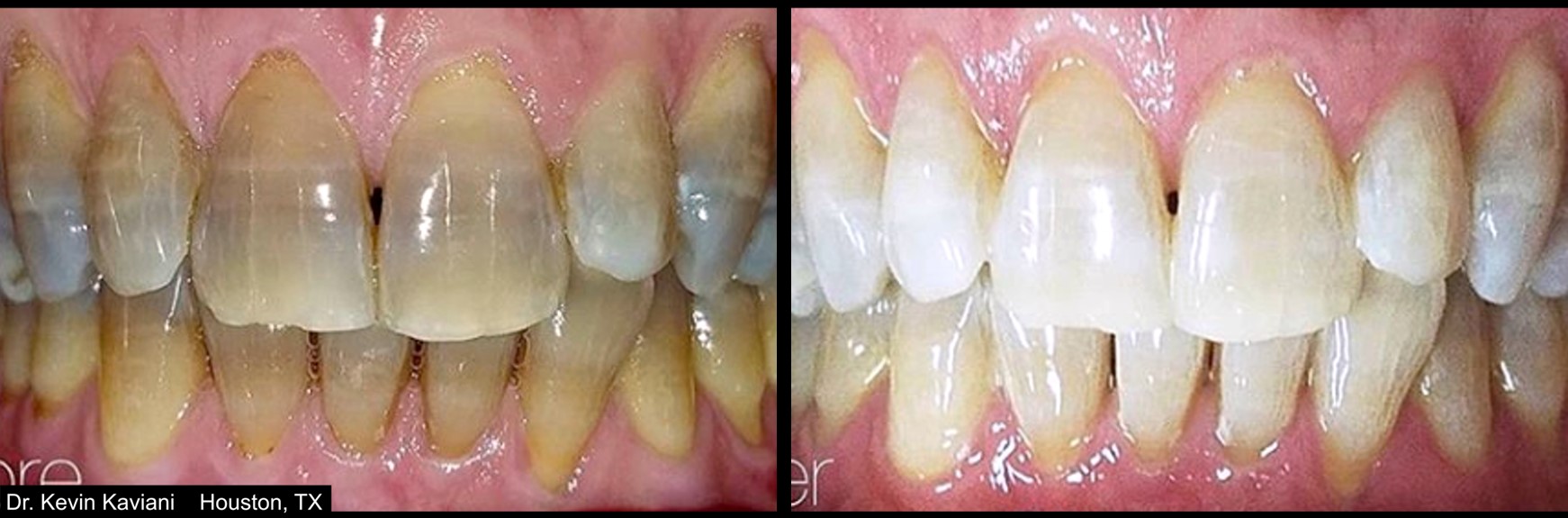
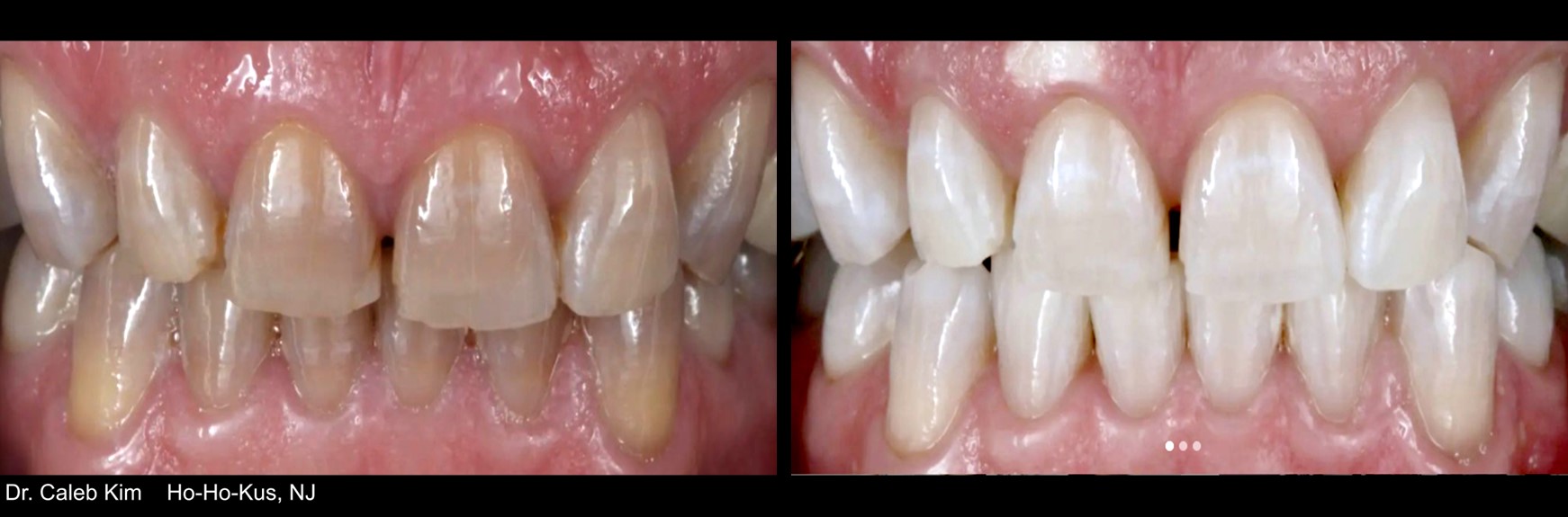
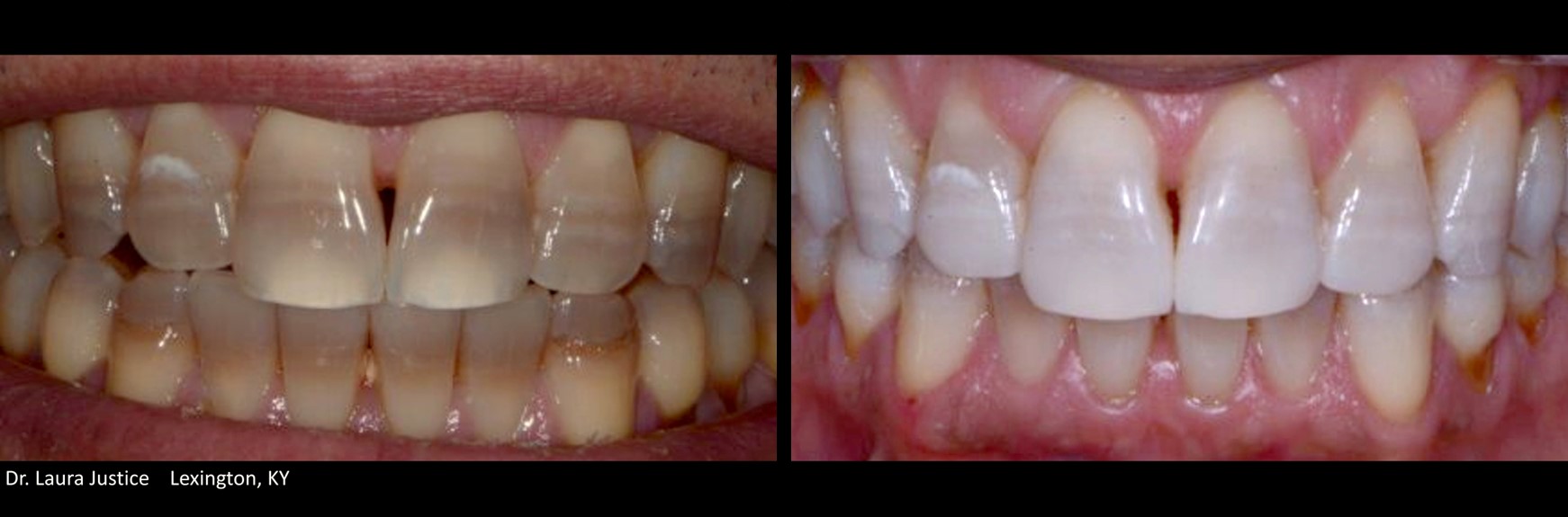
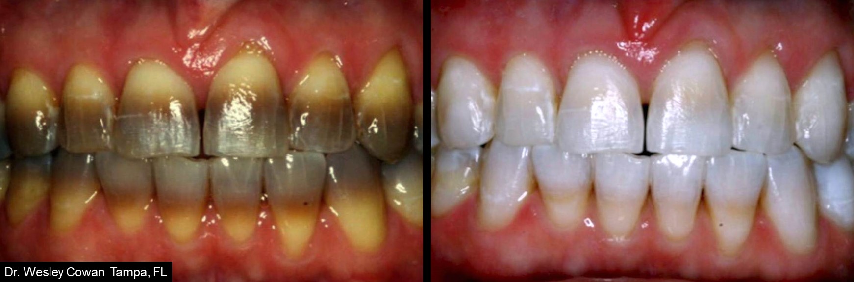
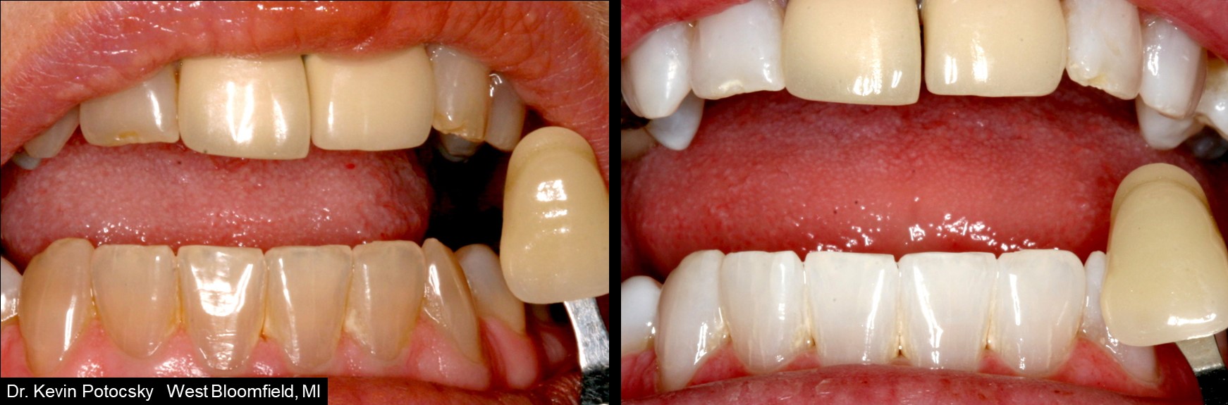
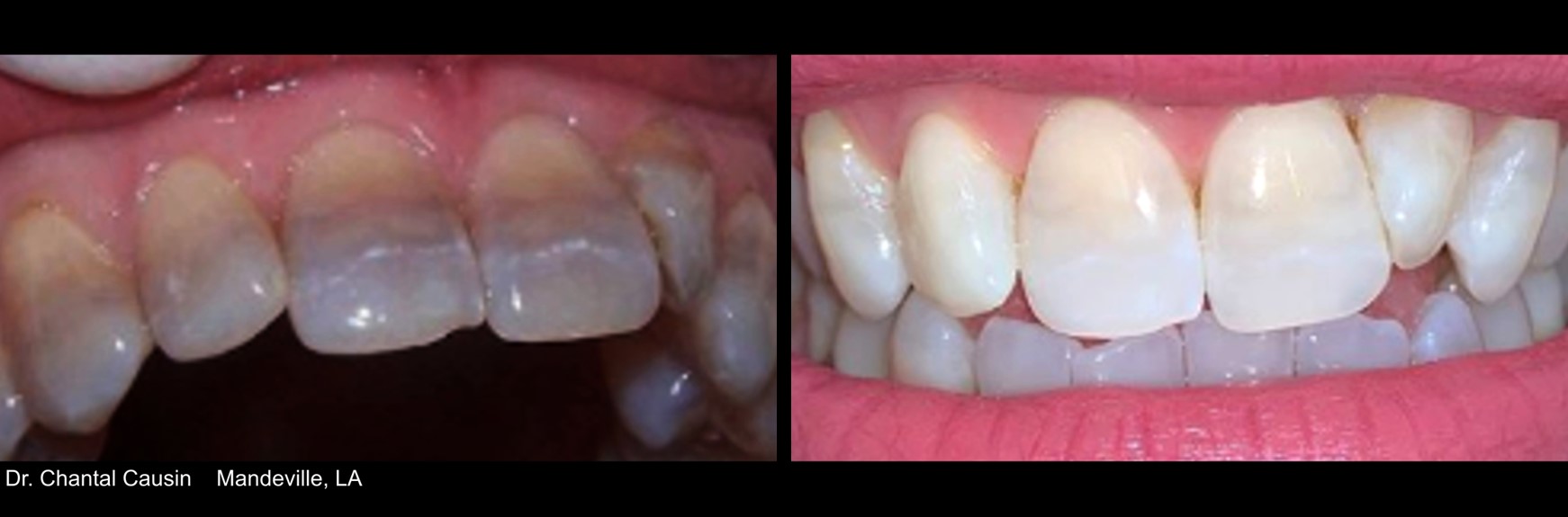
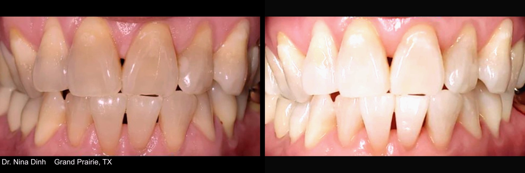
See Over 400 Tetracycline Stain KöR® Cases by Real Dentists Throughout the USA & Around the World

(Click On Any Case To Enlarge)

Advancing the Science of Whitening

KoR Whitening - The Science of Whitening
KoR Whitening - Solving Teeth Whitening Sensitivity
KoR Whitening - The Mith of Bleaching Lights and Lasers
KoR Whitening - The Science of Whitening Gel Refrigeration