Low to No Sensitivity with KöR® Whitening
KöR® lowers, and in most cases eliminates, sensitivity in two distinctly different ways:
1) Constant Refrigeration of KöR® Gels
Peroxides in whitening gels are unstable chemicals. They’re supposed to be. That’s why they can break down when placed in the mouth. But the downside is that this instability results in premature breakdown during storage, freight shipping from chemical factory to whitening company, more storage, and shipping to the dental office. According to UPS, the bays of shipping trucks most commonly reach 125-165oF. The higher the temperature, the more quickly whitening gels degrade.

KöR’s constant refrigeration of whitening gels at all times, from manufacture until received cold by the dental office, virtually stops premature breakdown. This means less acid content and lower osmolarity. Here’s why…
As peroxides break down giving off bleaching factors, the peroxide breakdown results in hydroxyl radicals, perhydroxyl radicals, superoxide radicals, oxygen ions and hydrogen ions. Hydrogen ions are acid – remember that pH means “potential of hydrogen”.
As whitening gels prematurely break down, giving off acid, not only does this lower the efficacy/effectiveness of the whitening gel, but the acids may demineralize natural smear plugs in the dentinal tubules, and increase the osmolality of the whitening gel.
Potential loss of dentinal tubular smear plugs, along with a stronger osmolality, may result in more osmotic “pull” on dentinal tubular fluid, causing more sensitivity during whitening.
Constant refrigeration virtually prevents premature breakdown, which virtually prevents creation of hydrogen ions (acid), which lessens any acidic demineralization of smear plugs, and helps keep the osmolality as low as possible to result in less osmotic pull on dentinal tubular fluid.
2) KöR® Complete Desensitizer

The aggressive microscopic “scrubbing bubbles” produced by peroxide whitening gels cleanses tooth structure and adds to the whitening of teeth. However, this same aggressive microscopic bubbling removes some dentinal tubular smear plugs, opening up these tubules, resulting in pulpal pain.

By securely and instantly sealing any open dentinal tubules, this eliminates the possibility of dentinal tubular fluid movement, thereby preventing sensitivity.
All KöR home whitening kits include KöR Complete Desensitizer, which patients apply daily at home during the whitening process. KöR Desensitizer plugs open dentinal tubules instantly by creating a crystalline precipitate of calcium oxalate within the dentinal tubules. The distinct formulation of KöR® Desensitizer results in a chemical chelation “bonding” of the calcium oxalate crystals to the hydroxyapatite in the highly mineralized peritubular dentin lining dentinal tubules.

The 10ml squeeze bottle of KöR Complete Desensitizer if meant for any type of desensitizing needs in the dental practice

The 5ml squeeze bottle and swab applicator kit is included in all of the regular KöR Whitening kits for patients to use at home during whitening. It is also offered to be dispensed to patients for ongoing various sensitivity issues.
To see all the very detailed science and references relating to whitening sensitivity, including the dreaded “zingers”, click on the Sensitivity Science Paper below.
Get the full story on Sensitivity Science Paper
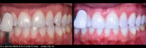
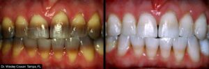
KöR® Whitening Gallery
Almost any whitening company can show you a few impressive before and after photos. But we have literally hundreds of cases, submitted by doctors like you, showing the phenomenal results you can get with the KöR® Whitening System.



