A Perfect Solution for Every Type of Patient
Teenagers. Young adults. Middle-aged adults. Geriatric patients. High translucency or opacity. Fluorosis or other dysmineralization. White spots. Brown spots. Teeth in various color ranges. Naturally very dark teeth. Patients with high-staining diets. Dentinogenesis imperfecta. Tetracycline staining that is moderate to intense, and banded or diffuse. And countless combinations of any of the above. This is what we deal with in our practices every… single… day.
That’s why Dr. Rod Kurthy used his knowledge and experience from 47 years of teeth whitening research and development to create our various KöR Whitening kits, each with its own specific treatment protocol, and each intended to treat various patients with very specific whitening needs.
And always in your corner, and available at a moment’s notice, are our KöR senior account manager clinical specialists to guide you every step of the way. They’ve dealt with every imaginable type of case… many times over the years.
Considered by thousands of KöR dentists to be the world’s most effective teeth whitening process – with no need for lights or lasers. KöR offers cost-effective kits from phenomenal home whitening for typical patients, to astonishing treatment of tetracycline cases — and everything in-between
Our full line of whitening kits include
KöR® HOME
A patient-pleasing at-home whitening system that consistently yields amazing results at a great price. The KöR® Home Whitening System is available for nighttime whitening as well as daytime whitening.
KöR-Night™
Nighttime whitening is always more effective than daytime whitening. This option provides a great whitening result for the typical patient at the lowest cost.
Treatment: 2 weeks of at-home nighttime whitening with KöR-Night 16% carbamide peroxide; and periodic at-home maintenance.
KöR-Day™
This daytime at-home whitening system is for those patients who prefer not to wear, or are unable to wear KöR-Seal Whitening Trays during sleep. KöR-Day may also be used for the super-sensitive patient who can only tolerate wearing whitening trays for very short periods.
Treatment: 2 or more weeks of at-home daytime whitening once or twice a day with KöR-Day 9% hydrogen peroxide; and periodic at-home maintenance.
KöR® MAX
Our best selling Kit, KöR® MAX is a versatile and super-effective whitening system that combines at-home whitening, followed by a single in-office whitening visit. This option provides the very best and biggest “WOW” result for the typical patient.
Treatment: 2 weeks of at-home nighttime whitening with KöR-Night 16% carbamide peroxide; a single in-office whitening visit utilizing KöR® 34% Dual-Activated, Tri-Barrel Hydremide® Peroxide gel, and periodic at-home maintenance.
KöR® ULTRA
The KöR® ULTRA Whitening kit delivers astonishing whitening results on stubborn cases such as fluorosis and dark geriatric staining.
Treatment: in-office conditioning visit utilizing KöR® 13% Dual-Activated, Tri-Barrel Hydremide® Peroxide gel delivered in KöR-Seal Whitening Trays; 3-4 weeks of at-home nighttime whitening; a final in-office whitening visit utilizing KöR® 34% Dual-Activated, Tri-Barrel Hydremide® Peroxide gel; and periodic at-home maintenance.
KöR® ULTRA-T
The KöR® ULTRA-T Whitening kit is specifically developed to deliver truly exceptional results on cases of dentinogenesis imperfecta and tetracycline staining that were once thought to be untreatable.
Treatment: in-office conditioning visit utilizing KöR® 13% Dual-Activated, Tri-Barrel Hydremide® Peroxide gel delivered in KöR-Seal Whitening Trays; 6-8 weeks of at-home nighttime whitening; final in-office whitening visit utilizing KöR® 34% Dual-Activated, Tri- Barrel Hydremide® Peroxide gel; and periodic at-home maintenance.

KöR® POWER WHITENING
Though no in-office-only whitening system is scientifically capable of predictable, long-lasting results, KöR’s In-Office Power Whitening kit, with constant refrigeration and Tri-Barrel delivery formulation, greatly enhances the ability to rapidly penetrate tooth microstructure and provide the most effective in-office whitening possible.
This option may be used for patients who object to wearing whitening trays at home; however, they should understand that whitening results of any in-office-only power whitening system are more unpredictable than other options and may need to be repeated in the future to maintain whiteness
Treatment: In-office whitening visit utilizing KöR® 34% Dual-Activated, Tri-Barrel Hydremide Peroxide gel with retractors and paint-on gingival barrier.
KöR® Case Studies
- Leonard Tau, DMD
- Natasha Lee, DDS
- Victor Burdick, DDS
- Kevin Potocsky, DDS
- Yvonne Wong, DDS
- Stephen Glass, DDS
- George Marquis, DMD
- Mark Nielsen, DDS
- John Cloud, DDS
- Dave Woltkamp, DDS
- Alina Cretu, DDS
- Pav Khaira, BDS
- Brian Weibling, DDS
- Ron Evans, DDS
- G. Brooks Haney, DDS
- Seth Gibree, DMD
- Alan Rosen, DDS
- Walter Mick, DDS
- Gary Glick, DDS
I am so happy to show you the following case. One of, if not THE most heart-warming case I’ve ever treated of any sort. This is what being a dentist is all about!
I treated a female patient with KöR® Whitening, and as always, she had a fantastic result, and was absolutely elated.
Leonard Tau, DMD. Philadelphia, PA
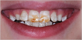
The next thing I knew, I received a phone call from her sister, who lives more than two hours away. She said her twelve year-old son has horribly discolored teeth and will no longer smile. At age 12, he was becoming very aware of his peers and their comments. It was turning this cute, extroverted young man into an introvert who avoided interaction with others. When they arrived at my office, I took some photos to email to get Rod Kurthy’s input on the case. When I asked my new young patient to smile, this is what I got. He had trained himself not to show his teeth.

After significant coaxing, I was able get him to “show me your teeth”. You can see the appearance of fluorosis, including the typical white opaque spots and brown spots, both a result of the inhibitory affect excess fluoride has on ameloblasts.

His mother also brought his school photo in to show me. She was unhappy that he was not smiling broadly. You can see that the discoloration is in the incisal 60% of the incisors, and this patient had trained himself to cover this discolored area with his lower lip and only show the cervical areas of the teeth.

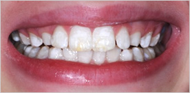
Obviously the parents were greatly distraught over the effect this was having on their son, and after speaking with his aunt (my patient), they felt there may be hope. I asked Rod what he thought about KöR® Whitening, vs. Microabrasion, vs. removal of the discolored area and restoration with composite. Rod assured me that the results would be spectacular with KöR® Whitening, and felt this was the much more conservative approach of all of the considered treatments. Well, here is the result we were able to achieve for this young man.

But that’s not the best part. The BEST part is this – this time when I asked him to smile, this is what we got:

What an absolutely changed person he is. I’m told he’s right back to his glowing, extroverted personality. His Mom was so happy that she convinced the school to allow her to take her son to the photographer and get a new school photo: 
My patient and his mom are absolutely thrilled with the results. Thanks for all your help.

These are the photos for my first KöR® Whitening Deep Bleaching case. We are blown away with the results! I can’t believe how well this worked! I know you say not to do a tetracycline case as your first one, but this patient was desperate to try something instead of having his regular dentist do ear to ear veneers. Lately I have been completely jaded by some of the technology and products out there and how they do not actually have any therapeutic value or are based just on manufacturer claims. But I’ll spread the word, because this product is awesome.
Natasha Lee, DDS
My name is Natasha Lee and I practice in San Francisco, CA. These are the photos for my first KöR® Whitening Deep Bleaching case. We are blown away with the results! I can’t believe how well this worked! I know you say not to do a tetracycline case as your first one, but this patient was desperate to try something instead of having his regular dentist do ear to ear veneers. Lately I have been completely jaded by some of the technology and products out there and how they do not actually have any therapeutic value or are based just on manufacturer claims. But I’ll spread the word, because this product is awesome. Thank you for your help in all of this.
Before

After


Dr. Rod Kurthy’s KöR® Whitening system has helped us achieve our goals of patient satisfaction and practice profitability. We’ve had fantastic results even in patients with severe tetracycline staining! We have also never had a patient experience sensitivity with this system.
Victor Burdick, DDS
My name is Victor Burdick and I practice in Littleton, Colorado. I am so grateful to have discovered Rod Kurthy’s KöR® Whitening Deep Bleaching™ System. In the past, we chose not to offer in-office whitening because of the inconsistent and disappointing results. Even the take home whitening that we have offered for years can sometimes unexpectedly fall short. We ordered KöR® Whitening to provide that extra service for our patients who we would not have otherwise even attempted whitening before. We also ordered it for those who needed a powerful whitening boost over our standard protocol.
Our very first KöR® Whitening patient had severe tetracycline staining and, as you can see, the results were fantastic. When the hygienists came into my operatory to look at the results, they actually squealed with excitement (and I have very dignified hygienists)! The results were better than we could have dreamed.
Before

After

Before

After

The team is now so excited to show off our KöR® Whitening before-and-after photos to their patients that THEY make ME late for lunch. They are selling whitening all the time now. We have implemented Dr. Kurthy’s KöR® Whitening protocols for all of our whitening patients, because of the incredible, dependable results.
The unexpected bonus about this system is the sensitivity factor. Many patients have experienced discomfort and even pain with our previous whitening systems. We have never had a patient with sensitivity to Dr. Kurthy’s system.
We appreciate the benefit that KöR® Whitening gives to our bottom line in production and referrals. We hired a photographer to take some portraits of our cosmetic patients, and she has been so impressed by our before-and-after photos that she has become a patient, referring friends and family! We are featuring KöR® Whitening in our next newsletter and can’t wait to get professional photos up on the walls!
In our office, just like in yours, the challenge is to provide the best services possible and keep the practice profitable, the patients happy, and the team happy. Dr. Rod Kurthy’s KöR® Whitening Deep Bleaching™ System is one more piece of the puzzle that helps us to achieve these goals. Thank you, Dr. Kurthy, for another win-win!
My staff has been completely energized using the KöR® Whitening Deep Bleaching™ System on patients, because it changes their lives for the better, forever. In particular, I recall one lady who had always had dark teeth and wanted to attend her 30th high school reunion, but was too embarrassed. We used KöR® Whitening and got her to an amazing shade 030. She literally cried tears of joy.
Kevin Potocsky, DDS
My name is Kevin Potocsky and I practice in Allen Park, Michigan. I have done many KöR® Whitening cases, and the results are simply remarkable. I am excited about offering this to my patients because I know it works, especially when comparing it against other bleaching methods.
I’d like to discuss a case based mainly on the patient’s huge reaction. This 48-year-old patient told me that her teeth have always been very dark. This was not just a matter of years of staining; we were either dealing with a congenital darkness or some tetracycline staining.
She had a 30-year high school reunion coming up, and did not want to go because of her smile. She said she didn’t smile at all because of the embarrassing dark color and ugly crowns (see teeth #s 8 & 9). We decided to do KöR® Whitening, followed by replacement of crowns 8 & 9.
Before

After

You see shade tab C-3 in the pre-op photo, but you can also see that her teeth were actually much darker than the C-3 shade tab. Her final shade after KöR® Whitening Deep Bleaching™ was an amazing 030 bleach shade (two shades lighter than a B-1). She cried when she first saw her new color and couldn’t wait for me to replace her crowns. She said that her teeth had never been white like this – not even close – and that this changed her entire life. She is still absolutely beside herself with joy, and so are we.
I wanted to have a chance to tell dentists how much KöR® Whitening can change our patients’ lives, and what an incredible feeling it is to do this for our patients. It has revolutionized my practice. No longer do I have to pray for good results. Unlike all the other types of bleaching that we’ve tried, KöR® Whitening has been 100% predictable. I no longer have to deal with those uncomfortable conversations with patients after bleaching, explaining why it didn’t work. My wonderful staff has been totally energized because of KöR® Whitening, and they’re all referring their friends and family for the procedure. Finally, I have a predictable bleaching technique that I can be proud of.
Dr. Kurthy, thank you so much for creating such a fantastic bleaching system. Finally, something that works incredibly well all the time!
Before KöR® Whitening, patients experienced one teeth whitening disappointment after another, which became increasingly frustrating to them, to myself and to my entire staff. After trying the KöR® Whitening Deep Bleaching™ System on myself, I knew I had found my secret weapon. My patients and staff are “wowed” every single time.
Yvonne Wong, DDS
My name is Yvonne Wong. My husband and I are dentists in Sunnyvale, California. Before KöR® Whitening, we had nothing but disappointment after disappointment. Patients often didn’t notice any whitening; and, if they did, they still weren’t happy. I was disgusted and hardly ever mentioned bleaching to patients.
I decided to get Dr. Kurthy’s KöR® Whitening training manual, and tried it on myself. My teeth got incredibly white (just look at my picture now!), and my staff was simply amazed. Then they all wanted KöR® Whitening. I had found my secret weapon.
My confidence shot up and I fell in love with dentistry again. I can feel a change in the way I talk to patients now. If you haven’t tried KöR® Whitening yet, your jaws will drop to the floor when you see the results. Every time a patient sees their teeth when we finish a case, they can’t believe the results, and my entire staff is “wowed” every time. It’s contagious.
Before

After

I am amazed at how much bleaching I do now. Most referrals come to me because of KöR® Whitening. Their friends get KöR® Whitening, and then they want the same thing.
I recently had a patient with very, very dark tetracycline stained teeth. She said that everyone used to ask her if she was a smoker. We didn’t have a shade guide in the office that even came close to her dark teeth, but when we were done with KöR® Whitening, she was much lighter than a B-1. She said this was one of the most important things that had ever happened to her.
Thank you so much for that, Dr. Kurthy. I love being a dentist again.
My patients have gone from having their self-esteem suffer to smiling constantly thanks to the KöR® Whitening Deep Bleaching™ System. For the first time in some patients’ lives, they are smiling now. 100% confidence for them and for me!
Stephen Glass, DDS
My name is Stephen Glass and I am a dentist in Spring, Texas. I’ve found that the KöR® Whitening Deep Bleaching™ System always causes very emotional responses from my patients and even my staff! I’d like to talk about two patients who absolutely hated their smiles for as long as they could remember. The first had typical banded tetracycline staining, and the other had very bleaching-resistant ultra-dark teeth. These patients consciously avoided smiling in social situations, photographs, etc. Without their even realizing, it had even affected their self-esteem.
My banded tetracycline stain patient virtually went wild when she saw how KöR® Whitening had changed her smile – changed her life! I don’t think a result like this has ever been possible before KöR® Whitening.
Before

After

In the next case, this patient had unsuccessfully tried having his tetracycline stained teeth bleached previously. After bleaching, he’d had the two crowns placed on teeth #s 8 & 9 to match the rest of his teeth. The shade match was very adequate, but of course he was never happy with the resulting color.
Can you imagine how this patient reacted when he saw the results of KöR® Whitening Deep Bleaching™ in the mirror after we were finished? Just look at the magnitude of difference between the color of his two crowns and his natural teeth. Of course, we’ve replaced those crowns, and for the first time that he can remember, this patient now loves to smile. And as fate would have it with such an impressive case, I went and lost the pre-op photo! Grrr.
Dentist friends of mine sometimes ask me about KöR® Whitening and what the results are like. I tell them that this system not only gets all teeth amazingly white, but that, more importantly, it totally changes the lives of our patients. To me, that is what KöR® Whitening is all about.
This has changed the way I practice. My staff and I no longer worry if our patients will respond to bleaching – we have 100% confidence and enthusiasm, and that is a great feeling! Thanks, Dr. Kurthy!
We have found KöR® Whitening Deep Bleaching to be the one whitening system we can always count on to impress our patients, every time.
George Marquis, DMD
We have found KöR® Whitening Deep Bleaching to be the one whitening system we can always count on to impress our patients, every time.
You can see in the two cases you see here that both were tetracycline stained cases. Of course most of our whitening is on more typical cases, but I wanted to show how effective the KöR® System is even on tetracycline stained cases that will not respond to any other treatment.
Before


After


We can now say without hesitation that we can give every one of our patients a truly white smile. Thanks Rod, I do appreciate the all your help, and great product.
I completed my first KöR® Whitening case today, and was very pleased with my result and thought I’d share it with you. My patient said she’d always had dark teeth. She recalled having many antibiotics as a child, and obviously tetracycline was one of them. As you can see, her teeth did have the classic tetracycline look, and there is no doubt that she is a “tetracycline stain” patient.
Mark Nielsen, DDS
I completed my first KöR® Whitening case today, and was very pleased with my result and thought I’d share it with you. My patient said she’d always had dark teeth. She recalled having many antibiotics as a child, and obviously tetracycline was one of them. As you can see, her teeth did have the classic tetracycline look, and there is no doubt that she is a “tetracycline stain” patient. I read in your manual not to have this as my first case, but I told myself I would not use this case to judge the product’s ability for a non-tetracycline case.
I have attached the before and after pictures. As you can see, she improved very well, having started in the C3-C4 range.
Before

After

She reported little sensitivity with the home tray use, and none during in-office treatment. Based on these results, I plan on using this as the only whitening system in my office.
Thank you for a system that works so well.
Dr. Kurthy hit a home run! The whitening gel refrigeration, the helpful manuals. . . all amazing. My staff used to be so frustrated with sensitivity and inconsistent bleaching results. Then we tried the KöR® Whitening Deep Bleaching™ System and haven’t looked back. One member of my staff even tried it on her mottled teeth. She said that within two weeks of completing KöR® Whitening, 40 people must have commented on her improved, beautiful smile!
John Cloud, DDS
My name is John Cloud and I have been practicing in Little Rock, Arkansas for 25 years. Through the years, I have tried a lot of different bleaching techniques. One memorable process prompted a hysterical phone call from my wife when her teeth turned pink after eating strawberries. It all worked out, and we are still married.
We all know the problems with bleaching: sensitivity and hit-or-miss results. My staff and I have become weary of a very popular technique using a light because of these two problems. Yellow teeth respond pretty well, but grays, browns, spots, tetracycline stains . . . forget it.
My staff became so frustrated with bleaching . . . well, they just didn’t want to do it anymore, or even mention it to our patients.
But then we started using Dr. Rod Kurthy’s KöR® Whitening Deep Bleaching™ System with some very impressive results. We heard that Dr. Kurthy was changing several things, so we shut it down for a few months as KöR® Whitening Deep Bleaching™ “Evolved.” Wow, was it worth the wait! Rod hit a home run with the total package, and the results are beyond belief.
Before

After


We read all about Dr. Kurthy’s refrigeration quest and the difference that it would make, but until we actually tried it, we had no idea just how effective this would be. As Rod suggested in the KöR® Whitening Training Manual, I offered my staff “free” KöR® Whitening Deep Bleaching™. The results have been incredible, and my staff is so excited that they start explaining KöR® Whitening with my patients before I even get the chance to!
One member of my team is a beautiful young lady who had fluorosis and very mottled teeth (see the accompanying photos). Several prior dentists had refused to attempt whitening, explaining that it would not work in her case with fluorosis, and would even make the mottling more prominent. She’s got a great personality, but was always extremely hesitant to smile. As you can see, her whitening results with the KöR® system were spectacular. She told me today that after KöR® Whitening, her face sometimes hurts from smiling so much. I kid you not! That’s exactly what she told me. She said she must have had 40 people comment on her beautiful smile within two weeks of completing KöR® Whitening.
She’s excited, I’m excited, the rest of my staff is excited, and my patients are excited. No more hit-or-miss – just greatly reduced sensitivity, and the fee is less than for one porcelain veneer.
Several months ago, a patient brought in her daughter’s wedding pictures and commented how she never smiled in photographs because she was embarrassed. I told her about the KöR® Whitening Deep Bleaching™ System, and she agreed to give it a try.
Dave Woltkamp, DDS
My name is Dave Woltkamp, and I practice in Overland Park, Kansas. We used to have nothing but grief with our bleaching due to constant sensitivity and frustration with the hit-or-miss success rates. It’s not a great practice builder to charge someone for sometimes good, sometimes okay, and sometimes poor results.
A few colleagues talked me out of doing one-visit bleaching. I started using KöR® Whitening by Dr. Rod Kurthy and have had awesome results! Now I’m getting amazing results every single time! I’ve even bleached some who could never fully bleach before because of sensitivity. Our team is just as excited about the results as our patients are!
The photos here are of a 57-year-old longtime patient of ours. We’ve watched her children grow up as patients, too.
She had a combination of tetracycline staining and fluorosis – white hypocalcified spots, and brown blotches on #s 8, 9 & 11. For years, she told us that she was very unhappy with her smile, and we always told her that there was nothing we could do other than veneers.
Before

After

Several months ago, she brought in her daughter’s wedding pictures and commented how she never smiled in photographs because she was embarrassed. I told her about KöR® Whitening, and she agreed to give it a try.
We took her from a mottled C3 tetracycline/fluorosis stain right to a bleaching shade 020, which is three shades lighter than a B-1. She recently told all of us that she is a “much happier person” now, and that she smiles a lot. She is such a nice lady; it’s great to realize that her smile can now match her personality.
I have absolute confidence in KöR® Whitening. Since this case, we’ve now been doing many, many KöR® Whitening cases, and we are always amazed at the consistent results. Those colleagues who talked me out of the one-visit bleaching systems were absolutely correct. The uncertainty of whitening results, along with sensitivity, are things of the past for us. KöR® Whitening has made dentistry much more fun for my staff and myself. It feels great to change someone’s life!

I am so happy I’ve found KöR® Whitening Deep Bleaching for my office. I am seeing great results and the patients are thrilled! I was very hesitant about whitening the first case below, which is a dark tetracycline stained case.
Alina Cretu, DMD
This patient had looked like this for her entire life, and after KöR® Whitening she said people were staring at her asking what happened and what she’d done to look so good.
You can see that the second case also shows some diffuse tetracycline staining, and has features off fluorosis also.
Before

After

Before

After

Before

After

As you know, I’ve been following your KöR® Whitening System, and hearing amazing things about it now for the last few years. A little more than a year ago I decided to bring your system to my cosmetically oriented dental practice in the United Kingdom. The results we’ve seen have simply blown me, my staff, and our patients away! As I said to you in a recent email, “YOU, Sir, are a frickin GENIUS!!!!!!”
Pav Khaira, BDS
Hi Rod,
As you know, I’ve been following your KöR® Whitening System, and hearing amazing things about it now for the last few years. A little more than a year ago I decided to bring your system to my cosmetically oriented dental practice in the United Kingdom.
The results we’ve seen have simply blown me, my staff, and our patients away! As I said to you in a recent email, “YOU, Sir, are a frickin GENIUS!!!!!!”
KöR® is the ONLY whitening system I recommend to achieve these types of results. I still offer ‘ordinary’ custom made at home trays too but always warn patients they may not see a noticeable change.
I’d like to show a few KöR® Whitening cases we’ve completed so far.
The following case is a tetracycline stained male patient. Actually, he is an ENT doctor that I undertake sleep apnea treatment with. He mentioned that he wanted to whiten his teeth and that he’d already tries several whitening methods in the past with zero success and a lot of sensitivity.
I told him about KöR® Whitening and he decided to give it a go.
You can see the amazing results we achieved with KöR, and he told me that he felt virtually no sensitivity at all during the process.
Before

After

His wife also wanted whitening and opted for a ‘laser’ 90 minute option with a different dentist and was laughing at her husband who had to wear trays whilst he slept for 2 week. Well, after her tooth colour didn’t change much and after his dramatic results, she now wants to see me to have KöR® whitening done!
The next cases I’ll show are patients who emailed me asking if I offered ‘laser’ whitening and I told them I do not offer it as I would not have this used on my teeth. Of course they all asked why. I told them that it was my professional opinion that the lasers, combined with high concentration peroxide, cause significant discomfort – even pain, and that I wasn’t happy with the results achieved. I also told them that I import a fantastic system (KöR® Whitening) from the US which gives me knock out results.
All of the following patients were interested and decided to go with KöR® Max and they were all simply blown away with the results! I saw one of the ladies after a year and her results were still as POW as the day we finished!!
Before

After

Before

After

I was disgusted with the unpredictability and pain of bleaching. I’d heard rave reviews about Rod’s KöR® Whitening from many friends and other sources, but I was still a little skittish and skeptical. So I did my first case on a friend of a staff member, free of charge. WOW!! The results were absolutely unbelievable. Almost no sensitivity, and the patient is ecstatic.
Brian Weibling, DDS
My name is Brian Weibling, and I practice in Canfield, Ohio. I was disgusted with the unpredictability and pain of bleaching, regardless of what brand of bleach I used or how meticulously I fabricated the trays. Actually, the only predictable bleaching method I had previously tried was a popular in-office bleaching: I could easily predict the patient would rebound to their original start shade within six weeks! I’d heard rave reviews about KöR® Whitening from many friends and other sources, but I was still a little skittish and skeptical about doing my first KöR® Whitening Deep Bleaching™ case. After all, the other “latest and greatest” bleaching techniques to hit the dental community were disappointing.
Before

After

So I did my first case on a friend of a staff member, free of charge. I needed to know for sure that the results were both predictable and incredible before I started charging patients. We did the KöR® Whitening Deep Bleaching™ MAX, and the results were absolutely unbelievable. Almost no sensitivity and the patient is ecstatic. And here’s the best part – this case actually could have been even better. The patient admitted to not following the directions as precisely as she should have. But because I didn’t charge the patient, we said, “what the heck, lets just do the final in-office treatment and see what happens.” The patient actually went from a C3 to a bleaching shade 020 (three shades lighter than a B-1)! It wasn’t long ago that I not only lost interest in bleaching, but also lost faith in it as well. The sensitivity, the unpredictable results, and the discouraging rebounds were enough to make me put bleaching in my mental “junk drawer” indefinitely. Now that I’m routinely doing KöR® Whitening and consistently seeing these amazing results, every time I see a person with even mild staining, I think to myself, “I could KöR® Whiten the heck out of this person’s teeth, and change their life forever!” What a difference this has made in my enjoyment of dentistry!
A 61 year old who achieved a shade 020 and a 46 year old who went from a C2 to an 010 with the KöR® Whitening Deep Bleaching™ System. My patients have had amazing results. This is the last whitening system you’ll ever want to use!
Ron Evans, DDS
My name is Ron Evans, and I practice in Rockwall, Texas. In the past, I would just hope for results, but with KöR® Whitening I now expect great results. I am blown away! I recently finished my first case, and I was so impressed that I contacted Dr. Kurthy to tell him all about it. And now I’ve finished my second case, and WOW! My first patient was 61, and I’ve found that older patients are always very difficult to bleach. She also started out as a shade A-2, which is pretty darned light for a 61 year old. She told me that she’s always had rather light teeth and is sick and tired of them being as dark as they are. I warned my patient that even at age 61, teeth are more difficult to whiten and not to expect a lot. Was I wrong! The patient went three shades lighter than a B-1, right to a bleaching shade 020. She was surprised and excited, my staff was surprised and excited, and I was virtually dumbfounded. I’ve never before seen this sort of result on this type of patient.
Before

After

My second case was a 46-year-old female patient. C2 all the way to 010. That’s four shades lighter than a B1. Unbelievable! After seeing the results, my assistant looked at me and said, “We’ve got to do that on us! We can’t let our patients have whiter teeth than us.” You just don’t see these results with any other system out there! KöR® Whitening takes whitening to the next level. Thanks a million for producing a whitening system that really works. Now I have no reservations about telling patients that we can achieve the results they desire. No more marketing hype, no more false promises, no more disappointments. What would I say to other dentists out there? I’d say, “Forget all the other bleaching materials on the market. KöR® Whitening will be the last whitening system and products you will ever want to use.”
Before

After

Like most dental offices, we (and our patients) were entirely frustrated with the poor, short-lasting results from previous whitening systems. Since switching over to KöR, those problems are a thing of the past.
G. Brooks Haney, DDS
Like most dental offices, we (and our patients) were entirely frustrated with the poor, short-lasting results from previous whitening systems. Since switching over to KöR, those problems are a thing of the past. We have had success after success after success with KöR. I’ll show three of the cases we’ve done, although there have been many more than these. I know that the first case seems a little “off the chart” but it is real. It was done on one of my patients that is a nationally recognized speaker and a very good friend of mine. He was in recently and it still “knocks your socks off” to look at his smile.
Before

After

Before

After

You can see that because of his tetracycline staining, the tetracycline had an adverse affect on the ameloblasts growing his enamel, especially in the cervical areas. He virtually has no enamel in the cervical areas. So near the gingival margins his teeth did not whiten as much as the rest of the tooth areas. But as you can see, his overall result was spectacular, and after more than a year, he still looks just like this. Next is a case that had proven resistant to several other types of bleaching. Nothing had worked for this nice lady until KöR. You’ll see that her porcelain crown #7 was lighter than her other teeth, especially the cuspid tooth #6 right next to it. And after we were done, the other teeth (including the extremely dark cuspid #6) had whitened so much that her crown was much darker!
Before

After

This lady just hated her teeth but could not afford veneers. After we finished her case she just sat in the chair and cried while she looked in the mirror. She was so happy. Of course we replaced the dark crown with a new, much lighter porcelain crown. Got herself a husband out of the deal too!
Before

After


And on the next case you can see there was diffuse tetracycline staining. This case also had not responded to other attempts of whitening before using KöR. But of course you can see the amazing results we were able to achieve.
Before

After

Before

After

We even had an older gentleman that had no success with “traditional” tray bleaching. They drove in about 4 hours from west Texas for this procedure. He and his wife are absolutely thrilled. Everybody we treat with KöR® has the same excited reaction.
I’d just opened my new scratch practice, and in walked your typical bleaching nightmare: Redhead. Fair complexion. Freckles. And your typical translucent, redhead-type bleaching-resistant teeth. I used the KöR® Whitening Deep Bleaching™ System and she said that for the first time ever, she loves smiling.
Seth Gibree, DMD
My name is Seth Gibree and I practice in Cumming, Georgia. I’ve been using Dr. Kurthy’s KöR® Whitening technique for some time now. In fact, we were the very first office in Georgia to offer KöR® Whitening Deep Bleaching™.
I met Dr. Rod Kurthy before I ever tried his KöR® Whitening, and he advised me not to start out on a difficult case. But of course, I didn’t let THAT stop me! I’d just opened my new scratch practice, and in walked your typical bleaching nightmare: Redhead. Fair complexion. Freckles. And your typical translucent, redhead-type bleaching-resistant teeth. Oh my gosh!
This patient absolutely hated the color of her teeth. She said that she had avoided smiling for as long as she could remember.
You can see for yourself the absolutely amazing results. You can’t even imagine how incredibly happy this patient was thanks to KöR® Whitening. She said that, for the first time ever, she loved smiling. The overall impact on her life in general was nothing less than miraculous.
Before


After

Being my very first KöR® Whitening Deep Bleaching™ case, this really shook me up. My entire staff has incredible confidence in presenting KöR® Whitening to our patients, because they know without doubt that the result will be amazing every single time. And I’m always amazed at how minimal the sensitivity level is – most of the time there isn’t any at all.
I no longer offer one-hour in-office whitening because my team and I just got so tired of the hit-and-miss results, not to mention disappointed patients. These days, we only offer two whitening choices for our patients. Either take-home bleaching with KöR® Whitening Deep Bleaching Trays™, or the full KöR® Whitening Deep Bleaching™ process. KöR® Whitening has helped keep my office at the cusp of new techniques and products. It allows us to treat our patients in a conservative manner and to not have to prep tetracycline cases or other difficult discoloration cases for veneers.
My 65-year-old practice partner, also a dentist (and an avid coffee drinker) decided to use KöR® Whitening after not having much success with other methods. The results were “wow white” and we even had to change the yellow composite on mesial #7 because it was now so noticeable. My patients also love the results they get with the KöR® Whitening Deep Bleaching™ System.
Alan Rosen, DDS
I’m Alan Rosen, and I practice in Springfield, Missouri. We have been using KöR® Whitening by Dr. Rod Kurthy for quite some time now, and I would just like to share our experiences.
Like every dentist I know, no matter what bleaching system we used, we had nothing but frustration after frustration. Since giving KöR® Whitening Deep Bleaching™ a try, our results have been phenomenal.
I think the best thing about KöR® Whitening is that my staff and I can look our patients in the eye and tell them that if we use it, they will get their teeth the absolute whitest they can possibly be. I show them the photos in Dr. Rod Kurthy’s Patient Presentation Photo Album, which we’ve also added our own cases to, and they’re always amazed at what they see.
Before

After


Dr. Kurthy’s advancements are amazing, and I especially love his new protocol for impressions and the materials he’s developed for them. I’ve never seen such detail in an impression, and the technique is very easy on the patients. Just wait until you see how the Deep Bleaching Trays fit!
The entire process is a lot of fun for patients and our staff, plus it doesn’t take away from doctor time; our staff does it all. Our last case was so happy that she kept kissing my assistant Kassidy on the cheek, over and over, after her last in-office treatment, repeatedly saying, “Thank you for making me so happy!”
The case I’d like to show happens to be my partner, Dr. Dio Daily. We did his case a while back, and I thought it would be fun for you to see another dentist as the patient. Dr. Daily is 65, and he had bleached many times with various other systems. His success was limited and the results usually did not last very long. He is a coffee drinker who always had stains that came back quickly. Other bleaching systems just did not make much of a difference on him.
By using KöR® Whitening, his teeth became “wow-white,” and we had to change the old yellow composite on the mesial of #7 quite quickly because it was so noticeable. He’s absolutely overwhelmed with his result. And hey, you can see what my own teeth look like in my photo, so obviously I’m thrilled with the results of KöR® Whitening Deep Bleaching™ for myself too!
Thanks, Dr. Kurthy, for all your help and advice!
Though KöR® Whitening works wonders for tetracycline cases, it is really intended to use on all bleaching cases. I’d like to tell you about the most emotional case I’ve ever treated in my practice. This case had a huge emotional impact on the patient and his wife. My staff and I will always remember what happened…
Walter Mick, DDS
My name is Walter Mick, and I practice in Reynoldsburg, Ohio. KöR® Whitening works wonders for tetracycline cases, and, really, all bleaching cases. I’d like to tell you about the most emotional case I’ve ever treated in my practice. This case had a huge emotional impact on the patient and his wife, and my staff will always remember what happened. Bill presented to my office as a new patient requesting full-mouth extractions and full dentures. He had all his teeth and no periodontal disease whatsoever; however, he absolutely hated his dark tetracycline-stained teeth (see pre-op photo with C-4 and A-4 shade tabs – his teeth were much darker than C-4) and had trained himself to never smile. The effect on his life was just too much for him to bear. He’d looked into veneers, but there was no way possible for him to afford it. Can you imagine the horrible emotional distress he was in to request full-mouth extractions and dentures?
Before

After

I’d heard of KöR® Whitening by Dr. Rod Kurthy, but I’d never tried it. So Bill was my very first case. You can see that the results were nothing less than miraculous – well beyond our expectations. Bill’s smile was incredible now! When Bill saw himself in the mirror after we completed KöR® Whitening, he literally could not speak. His wife was sitting in the operatory, and the sight of Bill’s new white smile brought her to tears. That day was probably the biggest highlight of my entire dental career. Before KöR® Whitening, we used various combinations of in-office and at-home bleaching, all with disappointing results. Since treating Bill, we use KöR® Whitening Deep Bleaching™ for all of our bleaching cases. The results are always dramatic, predictable and have outstanding outcomes. The patient’s response is always, “WOW!” Before KöR® Whitening, a patient’s response when we finished bleaching was to ask me how we could get their teeth whiter. But now, after KöR® Whitening, the response is one of amazement and excitement. Dr. Kurthy’s KöR® Whitening Deep Bleaching™ System has totally changed my attitude toward bleaching, and my staff is now very enthusiastic about it.
In walked the worst case I’d ever tried to bleach. He was too embarrassed to smile and had been since childhood. The KöR® Whitening Deep Bleaching™ System changed all that. This is what being a dentist is all about.
Gary Glick, DDS
My name is Gary Glick, and I practice in West Milford, New Jersey. This is the worst case I’ve ever tried to bleach. The patient had been embarrassed about his smile since he was a child, and it really affected him. My office staff was on pins and needles hoping we could help this very warm, loving patient with Dr. Rod Kurthy’s KöR® Whitening Deep Bleaching™.
When finished, the patient was speechless, and so were we! He was so grateful, you would think that I just saved his life. The staff was wowed with his color change and has been pumped up about KöR® Whitening ever since.
His bleaching was done sometime back, and his teeth are just as white today as when I completed the case. He eats whatever he wants. He touches up one time per month. He is just as ecstatic now as when the case was finished, and he smiles constantly and broadly.
Before

After

And this was done using your 9% hydrogen peroxide – just imagine what results we’d have gotten with your new KöR® Whitening Deep Bleaching™ MAX! The results we’re getting on all our KöR® Whitening cases are just astounding!
This is what being a dentist is all about – it was truly a life-changing experience for this patient and a very moving experience for the entire staff. Thanks, Dr. Kurthy, for giving us this amazing ability to change our patients’ lives!
KöR® Whitening Gallery
Almost any whitening company can show you a few impressive before and after photos. But we have literally hundreds of cases, submitted by doctors like you, showing the phenomenal results you can get with the KöR® Whitening System.






